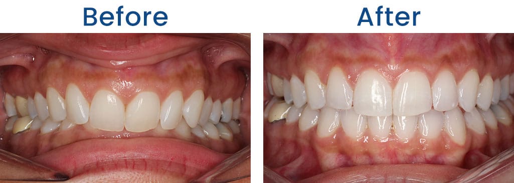
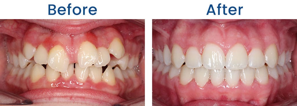
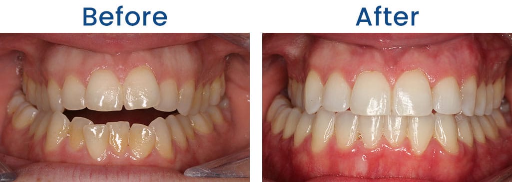
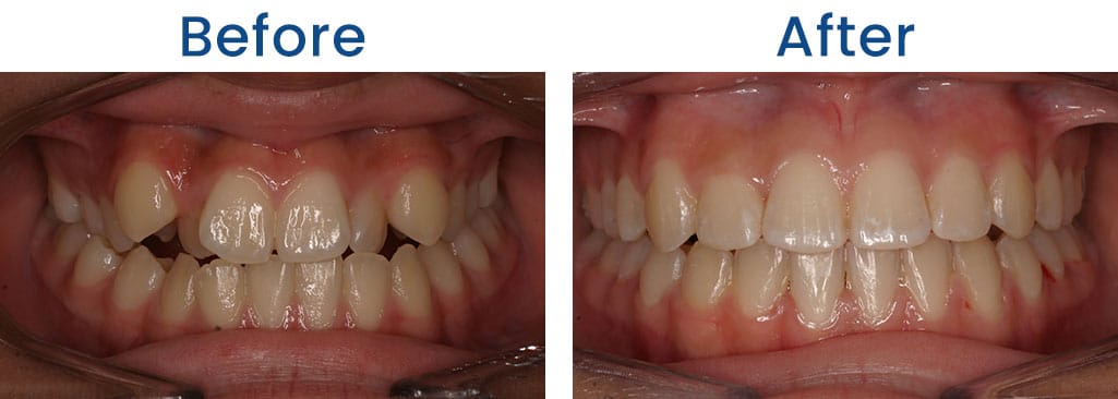
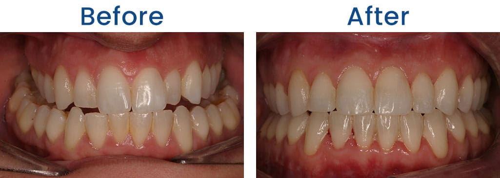
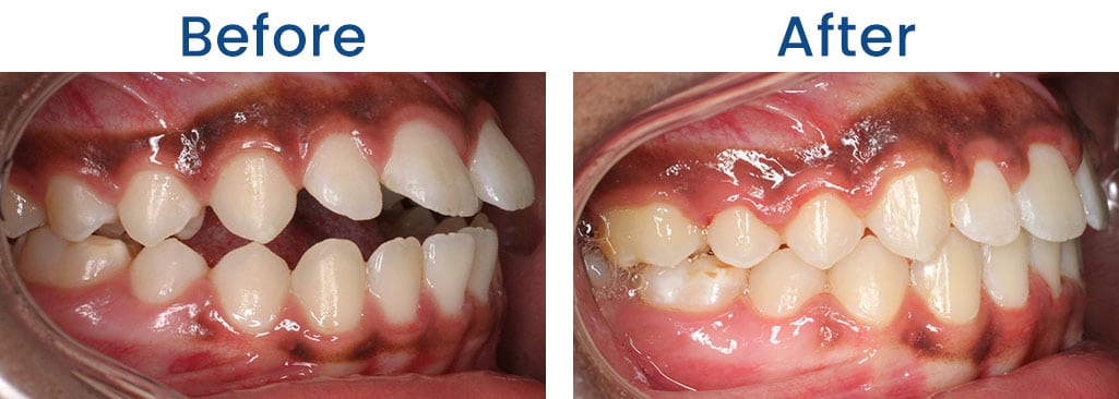
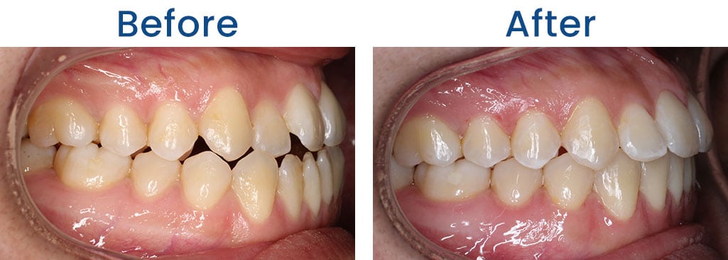
Rockville Centre Orthodontist Dr. Doug Palaganas has experience treating many types of smiles using the latest technologies available. Whether you or your child are experiencing crowding, extra spaces, an overbite or underbite, Dr. Doug and his team can help you create the smile of your dreams using traditional braces, clear aligners. Below are some of our fantastic transformations. Contact us today and let us customize a treatment plan for your smile!








